Type 2 diabetes is characterized by insulin resistance, which is involved in the development of Alzheimer disease. This study aims to investigate the relationship between abnormal resting-state brain functional connectivity and insulin resistance in type 2 diabetes.
A total of 30 patients with type 2 diabetes and 31 healthy well-matched volunteers were prospectively examined. Resting-state brain functional connectivity analysis was used to examine the correlation between the posterior cingulate cortex (PCC) and whole-brain regions. The possible relationships between functional connectivity measures and insulin resistance were evaluated using the homeostasis model assessment of insulin resistance (HOMA-IR).
Compared with healthy controls, we observed significantly decreased functional connectivity of the PCC within some selected regions, including the right middle temporal gyrus (MTG), left lingual gyrus, left middle occipital gyrus, and left precentral gyrus; increased functional connectivity of the PCC was detected in the left cerebellum posterior lobe, right superior frontal gyrus, and right middle frontal gyrus. A significant negative correlation was found between the PCC-right MTG connectivity and HOMA-IR in type 2 diabetic patients (P = 0.014; r = −0.446).
Type 2 diabetic patients develop aberrant functional connectivity of the PCC, which is associated with insulin resistance in selected brain regions. Resting-state connectivity disturbance of PCC–MTG may be a central role for evaluating the cognitive dysfunction in type 2 diabetes.
Introduction
Type 2 diabetes is characterized by insulin resistance, as indicated by chronically increased peripheral insulin levels and concomitantly reduced brain insulin activity (1,2). Insulin modulates numerous metabolic pathways, including those associated with brain cognitive function, such as glucose metabolism, synaptic maintenance, vascular function, tau phosphorylation, and β-amyloid regulation (3–5). Recent longitudinal studies have shown that insulin resistance is associated with an increasing risk of developing into Alzheimer disease (AD) from healthy individuals or type 2 diabetic patients (6,7). Due to the distribution of insulin receptors in the central nervous system (8), insulin resistance may affect brain function in specific brain regions, such as the hippocampus, the prefrontal cortex, and the cingulate gyrus. However, the mechanism by which the insulin resistance of type 2 diabetic patients influences brain function through acting on the specific brain regions has not been fully elucidated.
Resting-state functional connectivity describes an interregional cooperation that can be characterized by synchronous and low-frequency (<0.08 Hz) fluctuations on blood oxygen level–dependent (BOLD) functional magnetic resonance imaging (fMRI) (9). The resting-state default mode network (DMN) shows consistently higher BOLD activity during rest than any cognitive activity in several brain regions, such as the middle temporal gyrus (MTG), the middle frontal gyrus (MFG), the posterior cingulate cortex (PCC), the anterior cingulate cortex, and the inferior parietal lobe (10). Abnormal resting-state functional connectivity to the DMN has been confirmed in various neuropsychiatric disorders, such as AD (11), amnestic mild cognitive impairment (12), and schizophrenia (13). Meanwhile, decreased functional connectivity from different seed regions to the DMN has been demonstrated in type 2 diabetic patients (14–16). Moreover, insulin resistance may be relevant to the functional disconnectivity in specific brain regions (14,15,17). Previous studies confirm that the structural or functional impairment of MTG may serve as a critical node within the DMN regions to identify the existence of type 2 diabetes-related cognitive dysfunction (18–20). Rotte et al. discovered that insulin enhanced neuronal activity within the middle temporal lobe and increased performance in humans under in vivo conditions (21). Middle temporal lobe, particularly including the MTG and the hippocampus with rich insulin receptors, is also observed to be associated with insulin resistance (8,22). Therefore, we supposed that the MTG might be a specific DMN region for assessing cognitive dysfunction that could be influenced by insulin resistance.
Based on the aforementioned findings, we hypothesized that type 2 diabetes might cause abnormal functional connectivity within the DMN, especially in the MTG region. Furthermore, we attempted to investigate the correlation of the alterations in functional connectivity with insulin resistance and neuropsychological performance. This investigation might contribute to a better understanding of the relationships between the insulin dysfunction and the selected brain regions in type 2 diabetic patients.
Research Design and Methods
Subjects
We recruited 64 subjects (all right handed, with at least 8 years of education) made up of 32 type 2 diabetic patients and 32 healthy subjects through community health screening and newspaper advertisement from September 2012 to March 2013. The patients were group-matched in terms of age, sex, education, and BMI. Two diabetic patients and one healthy subject were subsequently excluded because the limits for head motion were exceeded during the image processing. The patients were aged between 45 and 70 years (59.0 ± 7.9 years), with disease duration of 3 to 20 years (8.4 ± 4.2 years) and BMI of 19.8 to 31.8 (24.3 ± 2.8). Type 2 diabetes was diagnosed using the criteria proposed by the World Health Organization 1999 criteria (23). Participants were excluded from the current study if they met criteria for mild cognitive impairment as described by Petersen (24) or if they had a history of smoking, stroke, alcoholism, brain injury, Parkinson disease, epilepsy, major depression or other neurological or psychiatric disorder/treatment that could influence cognitive function, major medical illness (e.g., cancer, anemia, and thyroid dysfunction), magnetic resonance imaging (MRI) contraindications, and severe visual or hearing loss. Type 2 diabetic patients with clinically detectable microvascular complications, such as retinopathy, nephropathy, and neuropathy, were excluded. Retinopathy was assessed by fundus photography and graded according to the Wisconsin Epidemiologic Study of Diabetic Retinopathy (25). Diabetic nephropathy was assessed using microalbuminuria, which was defined as an albumin-to-creatinine ratio >2.5 mg/mmol for males and >3.5 mg/mmol for females. Peripheral neuropathy was based on the results of annual checkup of the patients. Patients with proliferative or more advanced retinopathy, diabetic nephropathy, and peripheral neuropathy were excluded. Meanwhile, participants treated with insulin-sensitizing drugs such as metformin or thiazolidinediones were also excluded. This study was approved by the Research Ethics Committee of the affiliated Zhongda Hospital of Southeast University. All individuals provided written informed consent before their participation in the study protocol.
Clinical Data and Neuropsychological Tests
Medical history and medication use was obtained from medical records and questionnaires. Clinical data were also obtained, including height and weight, arterial blood pressure, BMI ([weight in kg]/[height in m]2), and waist–hip ratio. Blood samples were collected by venipuncture at 7:00 a.m. after overnight fasting to measure the levels of fasting plasma glucose (FPG), fasting insulin, fasting C-peptide, HbA1c, triglyceride, total cholesterol, LDL cholesterol, and HDL cholesterol and at 9:00 a.m. after drinking a 75 g glucose solution to measure the postprandial glucose and postprandial C-peptide. MRI data of all the participants were acquired at 11:00 a.m. when their blood glucose levels were relatively stable at the time of imaging.
The neuropsychological status of the participants were tested using the Mini-Mental State Exam, Montreal Cognitive Assessment, Auditory Verbal Learning Test (AVLT), Complex Figure Test (CFT), Digit Span Test (DST), Trail-Making Test (TMT) Parts A and B, Clock Drawing Test (CDT), and Verbal Fluency Test (VFT). The results reflected general cognitive function, episodic verbal and visual memory, semantic memory, attention, psychomotor speed, executive function, and visuospatial skills. It took ∼60 min for each individual to complete all the tests in a fixed order.
MRI Data Acquisition and Data Analysis
All imaging data were acquired using a 3.0 T MRI scanner (Siemens MAGNETOM Trio, Erlangen, Germany) with a standard head coil. Head motion and scanner noise were reduced using foam padding and earplugs. The subjects were instructed to rest quietly with their eyes closed but to remain awake, and avoid specific thoughts during the scan. Functional images were obtained axially using a gradient-echo planar sequence sensitive to BOLD contrast as follows: repetition time (TR) = 2,000 ms, echo time (TE) = 25 ms, slices = 36, thickness = 4 mm, gap = 0 mm, field of view = 240 mm × 240 mm, acquisition matrix = 64 × 64, and flip angle = 90°. Structural images were acquired with a T1-weighted three-dimensional spoiled gradient-echo sequence as follows: TR = 1,900 ms, TE = 2.48 ms, slices = 176, thickness = 1 mm, gap = 0 mm, flip angle = 90°, acquisition matrix = 256 × 256, and field of view = 250 mm × 250 mm. Fluid-attenuated inversion recovery scans were also acquired: TR = 8,500 ms, TE = 94 ms, slices = 20, thickness = 5 mm, voxel size 1.3 × 0.9 × 5 mm3.
Structural images were processed based on the VBM8 toolbox (http://dbm.neuro.uni-jena.de/vbm). Briefly, cerebral tissues were segmented into gray matter (GM), white matter (WM), and cerebrospinal fluid (CSF). Statistical parametric mapping was generated between type 2 diabetic patients and controls. Brain parenchyma volume was calculated as the sum of GM and WM volumes.
Quantitative assessment of lacunar infarcts and WM hyperintensity were performed on the fluid-attenuated inversion recovery images using the age-related WM changes scale (26) by two experienced radiologists (G.-J.T. and Y.J.) who were blinded for the clinical data and group allocation. Participants with a rating score above 1 were excluded. Consensus was obtained through discussion between the two assessors.
Data analyses were conducted using Data Processing Assistant for Resting-State fMRI programs (27), which is based on statistical parametric mapping (SPM8; http://www.fil.ion.ucl.ac.uk/spm) and Resting-State fMRI Data Analysis Toolkit (REST; http://www.restfmri.net). Slice-timing and realignment for head motion correction were performed. Any subjects with a head motion >2.0 mm translation or a 2.0° rotation in any direction were excluded. After that, spatial normalization to the Montreal Neurological Institute template (resampling voxel size = 3 × 3 × 3 mm3) and smoothing with an isotropic Gaussian kernel (full width at half maximum [FWHM] = 4 mm), detrending, and filtering (0.01–0.08 Hz) were performed in order.
Functional connectivity was analyzed using the REST software. The seed region of interest of the PCC was generated using the WFU_PickAtlas software (http://www.ansir.wfubmc.edu). The mean time series for region of interest was computed for reference time course. Cross-correlation analysis was then carried out between the mean signal change in the PCC and the time series of every voxel of whole brain. Finally, a Fisher z-transform was applied to improve the normality of the correlation coefficients (28). Six head motion parameters and mean time series of global, WM, and CSF signals were included in the regression analysis to remove possible effects of such factors on the results.
Statistical Analysis
Clinical Data Analysis
Differences in demographic and neuropsychological performances between type 2 diabetic patients and healthy controls were analyzed using between-group t test for means and χ2 test for proportions (statistical significance was set at P < 0.05). Homeostasis model assessment of insulin resistance (HOMA-IR) value was used to assess the insulin resistance from FPG and fasting C-peptide, which was calculated by using the HOMA Calculator version 2.2, available on the Diabetes Trials Unit website (http://www.dtu.ox.ac.uk) (29). We conducted a regression analysis, controlling for BMI, to examine whether BMI could attenuate the association of type 2 diabetes with insulin resistance. Given that obesity can adversely affect the brain through nonmetabolic mechanisms such as inflammation (30), BMI should be used as a covariate.
Functional Connectivity Analysis
For within-group analysis, the individual z values were entered into the SPM8 software for a random effect one-sample t test to determine the brain regions showing significant connectivity to the PCC. Thresholds were corrected P < 0.05, with multiple comparisons correction using the AlphaSim program (http://afni.nih.gov/afni/docpdf/AlphaSim.pdf) determined by Monte Carlo simulation (parameters were single voxel P value = 0.05, a minimum cluster size of 85 mm3, FWHM = 4 mm, within a GM mask corresponding to the Automated Anatomical Labeling atlas).
For between-group analysis, a mask was created by combining the two z-maps of both groups, which were the result of one-sample t tests. These individual z values were also entered into the SPM8 software for random-effects analysis two-sample t tests to identify regions with a significant difference in connectivity to the PCC. Age, sex, HbA1c, and BMI were included as nuisance covariates to control for the possible influences of these four factors on the results. Thresholds were also set at a corrected P < 0.05, with multiple comparisons correction using the AlphaSim program determined by Monte Carlo simulation (parameters were single voxel P value = 0.05, a minimum cluster size of 85 mm3, FWHM = 4 mm, within a GM mask corresponding to the Automated Anatomical Labeling atlas).
Correlation Analysis
Correlation analysis between the fMRI data and the neuropsychological performances was accomplished. First, these clusters of the significant differences in functional connectivity between groups were extracted. Second, the mean z values of abnormal functional connectivity region mask were calculated within every type 2 diabetic patient. Finally, the Pearson correlation coefficients between abnormal z values and neuropsychological performances were analyzed using SPSS for Windows (version 18.0, Chicago, IL). P < 0.05 was considered statistically significant. Partial correlations were conducted using the same covariates as in the between-group voxel-wise analyses. Bonferroni correction was used for multiple comparisons in the correlation analyses.
Results
Clinical Data and Neuropsychological Tests
Table 1 summarizes the demographic and neuropsychological tests of type 2 diabetic patients and healthy controls. The groups did not significantly differ in terms of age, sex, education level, BMI, blood lipids, arterial blood pressure, medication use, and cerebral small vessel disease. Patients with type 2 diabetes had higher FPG, HbA1c, postprandial glucose, fasting C-peptide, and HOMA-IR index (all P < 0.001) and lower postprandial C-peptide (P < 0.001). Inclusion of BMI did not appreciably attenuate the association of type 2 diabetes with the degree of insulin resistance (data not shown). Moreover, patients with type 2 diabetes performed poorer scores on CFT/CFT-delay, TMT-A/TMT-B, CDT, and VFT (P < 0.05). The other neuropsychological tests showed slight but not significant decreases in cognitive performance.
Structural Data
Supplementary Table 1 presents the comparisons of the brain volumes (GM volume, WM volume, and brain parenchyma volume) between the type 2 diabetic patients and the healthy controls. Although the GM and WM volumes of the type 2 diabetic patients decreased slightly, they did not significantly differ from those of the controls.
Functional Connectivity Data
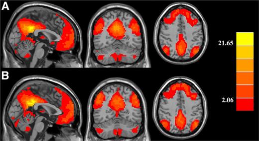
The PCC showed strong functional connectivity to a number of other brain regions in both the healthy controls and the diabetic patients. These regions included the anterior cingulate cortex, PCC, inferior parietal lobe, MFG, and temporal lobes, which were in line with the DMN regions (10). Besides, several other regions, such as the cerebellum posterior lobe, the superior frontal gyrus, the postcentral gyrus, and the parahippocampa gyrus also exhibited similar changes (Fig. 1).
Significant brain functional connectivity to the PCC using one-sample t test in (A) healthy controls and (B) type 2 diabetic patients. Thresholds were set at a corrected P < 0.05, determined by Monte Carlo simulation. Note that the left side corresponds to the right hemisphere.
The patients with type 2 diabetes showed significant decreases in the functional connectivity between the PCC and the right MTG, the left lingual gyrus, the left middle occipital gyrus, and the left precentral gyrus. By contrast, PCC exhibited increased functional connectivity to the left cerebellum posterior lobe, the right superior frontal gyrus, and the right MFG (Fig. 2 and Supplementary Table 1).
Significant differences in the functional connectivity of PCC between type 2 diabetic patients and healthy controls. (A) Abnormal functional connectivity of PCC in selected brain regions. (B) Three-dimensional views of abnormal brain regions. Thresholds were set at a corrected P < 0.05, determined by Monte Carlo simulation. Note that the left side corresponds to the right hemisphere.
Significant differences in the functional connectivity of PCC between type 2 diabetic patients and healthy controls. (A) Abnormal functional connectivity of PCC in selected brain regions. (B) Three-dimensional views of abnormal brain regions. Thresholds were set at a corrected P < 0.05, determined by Monte Carlo simulation. Note that the left side corresponds to the right hemisphere.
Correlation Analysis Results
In type 2 diabetic patients, the functional connectivity of PCC-right MTG was significantly and specifically correlated with HOMA-IR (r = −0.446; P = 0.014) and VFT performance (r = 0.495; P = 0.005) (Fig. 3). Very similar results were obtained for the partial correlations (after accounting for age, sex, HbA1c, and BMI). However, no significant correlations were observed between the PCC-right MTG and other cognitive tests (Table 2). In addition, the functional connectivity of the PCC to the left lingual gyrus and the left middle occipital gyrus were positively associated with the CFT-delay scores, respectively (r = 0.446, P = 0.014; r = 0.480, P = 0.007). The other decreased or increased functional connectivity to the non-MTG regions were independent of any other cognitive tests (Supplementary Table 1). Nevertheless, no significant correlations persisted after Bonferroni correction.
Significant correlations between the functional connectivity and different clinical variables. (A) Correlation between HOMA-IR and the functional connectivity of PCC-right MTG (r = −0.446; P = 0.014). (B) Correlation between VFT score and the functional connectivity of PCC-right MTG (r = 0.495; P = 0.005). (C) Correlation between the HbA1c level and the VFT score (r= −0.457; P = 0.011).
Significant correlations between the functional connectivity and different clinical variables. (A) Correlation between HOMA-IR and the functional connectivity of PCC-right MTG (r = −0.446; P = 0.014). (B) Correlation between VFT score and the functional connectivity of PCC-right MTG (r = 0.495; P = 0.005). (C) Correlation between the HbA1c level and the VFT score (r= −0.457; P = 0.011).
Correlation coefficients between the functional connectivity of PCC-right MTG and insulin resistance or cognitive tests before and after correction

The HbA1c level had a negative correlation (r = −0.457; P = 0.011) with VFT performance (Fig. 3). However, we found no significant correlations between the HOMA-IR and any of the cognitive performance. Moreover, no significant associations but the trend toward significance were found between the PCC-right MTG and the fasting blood glucose, insulin, C-peptide, or HbA1c. Meanwhile, diabetes duration was not associated with aberrant functional connectivity and other clinical data (data not shown).
Conclusions
This current study demonstrates that the aberrant resting-state functional connectivity among DMN regions, especially the PCC-right MTG, is associated with insulin resistance and cognitive performance, which might be the key to understanding the cognitive impairment in type 2 diabetes.
Remarkably, middle temporal lobe atrophy has been found in type 2 diabetes through brain MRI (20). Meanwhile, the decreased amplitude of low-frequency fluctuations in resting-state fMRI was mainly observed in the bilateral MTG region, which was correlated with cognitive dysfunction (18). Compared with the healthy controls, we found that the PCC showed reduced functional connectivity to the right MTG in type 2 diabetic patients, which was consistent with the study of Musen et al. (14). However, the sample size was too small and the relationship between MTG disturbance and insulin resistance was not elaborated in their study.
In the current study, the functional connectivity of PCC-right MTG was correlated negatively with the HOMA-IR values and positively with VFT performances in type 2 diabetic patients. Numerous studies have also investigated the relationships between HOMA-IR, brain MRI, and cognitive function. Insulin resistance was associated with early AD among late middle-age patients due to progressive middle temporal lobe atrophy (31,32), which may be a biomarker for dementia risk. In type 2 diabetes, HOMA-IR was inversely correlated with reduced functional connectivity between the PCC and several DMN regions, particularly the right inferior frontal gyrus and right precuneus (14). Meanwhile, aberrant functional connectivity could link the insulin resistance to the depression among type 2 diabetic patients (15). VFT performance reflects the semantic memory, which is one of the most prominent characteristics of patients with type 2 diabetes (33). The MTG has been linked to verbal fluency, language processing, and speech production (34). Therefore, these specific associations support our hypothesis. Nonetheless, insulin resistance was not significantly correlated with any other cognitive tests. We hypothesized that insulin resistance did not directly influence the cognition but initially affected the brain functional connectivity among the DMN regions, which could be detected by fMRI. Considering poor glycemic control and insulin/C-peptide deficit are associated with cognitive impairment (35,36), we assumed that these factors might contribute together to the relationship between brain disconnection and insulin resistance. However, the exact mechanism still remains unclear. We will focus more on whether these aforementioned relationships remain stable or change with disease progression. Other essential factors mostly associated with cognitive function should be also examined to validate the results. Correlation analyses were not significant after the multiple comparisons correction because of the stringent standard. Despite these, this study provides some enlightenments for future studies in this field.
Several non-DMN regions exhibited decreased functional connectivity to the PCC. The left lingual gyrus and the left middle occipital gyrus are linked with visual memory (37). Our previous study showed that the visual cortex of type 2 diabetic patients revealed disrupted resting-state amplitude of low-frequency fluctuations and regional homogeneity (38). We speculate that the decreased functional connectivity to the visual cortex lowers the performance in the CFT delayed recall test that is related to visual memory (39). The precentral gyrus is reportedly an important motor area that is atrophic in patients (19). Alternatively, increased brain functional connectivity may be a compensatory mechanism and involved in limiting the cognitive dysfunction of type 2 diabetes. Nevertheless, the underlying mechanisms by which the illness activates these compensatory systems still require further investigation. Although these certain regions were unrelated to insulin resistance, the aberrant brain functional connectivity may also help reveal the neuropathologic mechanisms of type 2 diabetes.
Our study has several limitations. First, the study is cross-sectional with a relatively small sample size. There existed the possibility of reverse causality that the presence of cognitive impairment in type 2 diabetes might affect the degree of glucose intolerance and insulin resistance. It is not appropriate to make direct causal inferences regarding the relationships between the brain disconnections, insulin resistance and cognitive dysfunction. Therefore, further longitudinal studies using fMRI experiments would be beneficial to establish the cause–effect relationships. Second, HOMA-IR may not be a good index for assessing insulin resistance, because the feedback between the pancreas and insulin sensitivity is lost progressively in diabetic patients (40). More sophisticated measurements, such as hyperinsulinemic-euglycemic clamp and intravenous glucose tolerance test, may provide more accurate assessment. Finally, other potential confounding factors could not be completely examined for additional covariates, such as blood glucose variation during magnetic resonance scanning, macrovascular or microvascular disease, ApoEε4, and other type 2 diabetes-related genotypes. Future explorations are still needed to confirm the conclusions.
Despite those limitations, these findings have important clinical implications. Patients with type 2 diabetes develop aberrant functional connectivity of the PCC, which is associated with insulin resistance in selected brain regions, especially the MTG. Additionally, disturbance in resting-state functional connectivity within the DMN regions revealed by fMRI may play a pivotal role in evaluating the cognitive dysfunction of type 2 diabetes.
Article Information
Acknowledgments. The authors thank the contribution of Yu-Feng Zang, Center for Cognition and Brain Disorders and the affiliated hospital, Hangzhou Normal University, Hangzhou, China, and Wen-Qing Xia, Department of Endocrinology, Zhongda Hospital, Nanjing, China, for their selfless help and valuable assistance.
Funding. This work was supported by the National Basic Research Program of China (973 Program; 2013CB733800, 2013CB733803), the National Natural Science Foundation of China (81230034, 81271739), and the Jiangsu Provincial Special Program of Medical Science (BL2013029).
Duality of Interest. No potential conflicts of interest relevant to this article were reported.
Author Contributions. Y.-C.C. collected the data, performed the analysis, and wrote the manuscript. Y.J. designed the experiment and revised the manuscript. Y.C. collected the data and performed the analysis. S.-A.S., J.D., Y.F., W.S., and S.-H.J. contributed to the discussion and manuscript revision. G.-J.T. made contributions to the design of the experiment and revised the manuscript. G.-J.T. is the guarantor of this work and, as such, had full access to all the data in the study and takes responsibility for the integrity of the data and the accuracy of the data analysis.




