Glucose can activate the mitogen-activated kinases, Erk-1/2, and the ribosomal-S6 kinase, p70S6K, in β-cells, contributing to an increase in mitogenesis. However, the signaling mechanism by which glucose induces Erk-1/2 and p70S6K phosphorylation activation is undefined. Increased glucose metabolism increases [Ca2+]i and [cAMP], and it was investigated if these secondary signals were linked to glucose-induced Erk-1/2 and p70S6K activation in pancreatic β-cells. Blocking Ca2+ influx with verapamil, or inhibiting protein kinase A (PKA) with H89, prevented glucose-induced Erk-1/2 phosphorylation. Increasing cAMP levels by GLP-1 potentiated glucose-induced Erk-1/2 phosphorylation via PKA activation. Elevation of [Ca2+]i by glyburide potentiated Erk-1/2 phosphorylation, which was also inhibited by H89, suggesting increased [Ca2+]i preceded PKA for glucose-induced Erk-1/2 activation. Adenoviral-mediated expression of dominant negative Ras in INS-1 cells decreased IGF-1-induced Erk-1/2 phosphorylation but had no effect on that by glucose. Collectively, our study indicates that a glucose-induced rise in [Ca2+]i leads to cAMP-induced activation of PKA that acts downstream of Ras and upstream of the MAP/Erk kinase, MEK, to mediate Erk-1/2 phosphorylation via phosphorylation activation of Raf-1. In contrast, glucose-induced p70S6K activation, in the same β-cells, was mediated by a distinct signaling pathway independent of Ca2+/cAMP, most likely via mTOR-kinase acting as an “ATP-sensor.”
The plasticity of β-cell mass and normal control of β-cell function are important for maintaining glucose homeostasis. In states such as obesity and pregnancy, pancreatic β-cell mass increases to compensate for the peripheral insulin resistance (1). In the β-cell, several lines of evidence have indicated the importance of mitogenic signal transduction pathways to pancreatic β-cell growth and survival, particularly that via insulin receptor substrate (IRS)-2 (1–3). IRS-2 engages at least two distinct signaling pathways in the β-cell, the phosphatidylinositol 3-kinase (PI3K) pathway and mitogen-activated protein kinase (MAPK) pathway (1,4). Tyrosine-phosphorylated IRS-2 recruits the p85 subunit of PI3K, leading to increased PI3K activity which, in turn, mediates the activation of phosphoinositide-dependent kinase-1 (PDK1) and protein kinase B (PKB) (5). PKB has numerous substrates including glycogen synthase kinase-3 (GSK3), forkhead transcription factors (Foxo1, FKHR, and AFX), and the Ser/Thr protein kinase mammalian target of rapamycin (mTOR) (6). Activation of mTOR leads to phosphorylation activation of the ribosomal-S6 kinase (p70S6K) that phosphorylates downstream targets in control of general protein synthesis and hypertrophy of the β-cells (7). Tyrosine-phosphorylated IRS-2 in β-cells also associates with the growth factor receptor-bound protein-2 (Grb2) coupled to mammalian Son of Sevenless (mSOS), which is a guanine exchange factor for Ras, leading to the activation of Ras. GTP-loaded activation of Ras leads to activation of the Ser/Thr protein kinase Raf-1, which phosphorylates the MAP/Erk kinase (MEK), leading to Erk-1/2 phosphorylation activation (8,9).
In adult pancreatic β-cells, several growth factors, peptide hormones, and nutrients have been shown to be capable of stimulating β-cell mitogenesis and prolonging β-cell survival, the net effect of which is to increase the growth of the existing β-cell population (1). The best characterized growth factors to increase adult β-cell mitogenesis are growth hormone (GH) and IGF-1 (1), as well as prolactin and placental lactogen relevant to increased β-cell mass in pregnancy (10,11). However, the mitogenic effect of GH and IGF-1 on β-cells appears to be glucose dependent, and glucose itself can stimulate β-cell mitogenesis in a manner dependent on glucose metabolism (9,12). Whereas glucose does not appear to directly affect the GH signal transduction, via the JAK2/STAT5 pathway (12), it can independently activate elements of the IGF-1 signal transduction pathway downstream of IRS-2, most notably Erk-1/2 (9,13–16) and p70S6K (14,15). Glucose can also induce tyrosine phosphorylation of IRS-2, but this is minor, and has much slower kinetics (>2 h), compared with that by IGF-1 or glucose-induced activation of Erk-1/2 and p70S6K in β-cells (14,15). The glucose-induced phosphorylation activation of Erk-1/2 and p70S6K is relatively specific, since other elements of IRS-mediated signaling in β-cells are not activated by acute (<2 h) exposure to glucose, for example PKB (14). Although the Ca2+-dependent glucose-induced Erk-1/2 has been previously described (13,16), the mechanism whereby increased β-cell glucose metabolism leads to phosphorylation activation of Erk-1/2 and p70S6K remains undefined. In this study, we investigate further the mechanism as to how glucose activates Erk-1/2 and p70S6K. In particular, we examine candidate secondary signaling factors [Ca2+] and [cAMP], both of which can be elevated by glucose in β-cells (17). We find that glucose-induced Erk-1/2 and p70S6K phosphorylation activation occurs via distinctly different signaling pathways.
RESEARCH DESIGN AND METHODS
Materials.
Human glucagon-like peptide-1 (GLP-1) 7-36 was purchased from Bachem (King of Prussia, PA); glyburide and verapamil were purchased from Sigma (St. Louis, MO). PD98059 and H89 were from Calbiochem-Novabiochem (La Jolla, CA). The Rp and Sp-isomers of 8-bromoadenosine-3′, 5′cyclic monophosphorothioate Rp-isomer (Rp-8Br-cAMP and Sp-8Br-cAMP) were purchased from Biolog (Bremen, Germany). Anti-phospho-Erk-1/2 and total Erk-1/2 antibodies were from Promega (Madison, WI). The total PKB and phospho-PKB Ser473 antibodies were from New England Biolabs (Beverly, MA). The p70S6K antiserum was a gift from Dr. M.G. Myers (Joslin Diabetes Center, Boston, MA). The anti-rabbit IgG horseradish peroxidase (HRP) conjugate was from Jackson ImmunoResearch (West Grove, PA). IGF-1 was obtained from GroPep Pty (Adelaide, Australia). [Methyl-3H]thymidine was from Amersham Pharmacia Biotech (Piscataway, NJ). The cAMP enzyme immunoassay (EIA) system (Biotrak) was also from Amersham Pharmacia Biotech and was used according to instructions by the manufacturer. The BCA protein assay kit was from Pierce (Rockford, IL), and the chemiluminescence reagent was from NEN (Boston, MA). The Ready Safe scintillation fluid was from Beckman Instruments (Fullerton, CA).
Islet preparation and cell culture.
Islets were isolated from 200- to 250-g male Sprague-Dawley rats by collagenase digestion as described previously (18). Batches of 100 islets were maintained in a serum-free medium (RPMI 1640 medium containing 0.1% BSA, 100 units/ml penicillin, and 100 μg/ml streptomycin) with 3 mmol/l glucose for 1 h. Islets were then incubated in the same medium at 3 or 15 mmol/l glucose ± 10 nmol/l IGF-1 for the times indicated at 37°C.
The glucose-sensitive pancreatic β-cell line, INS-1, was maintained in the complete medium as previously described (19). In general, INS-1 cells were subcultured on 6-well plates to ∼80% confluence and then incubated for 20 h at 37°C in serum-free modified RPMI 1640 medium containing 0.5 mmol/l glucose and 1% wt/vol BSA as described (14, 15). After the quiescent period, the cells were incubated at 37°C with fresh serum-free RPMI 1640 medium with 3 or 15 mmol/l glucose ± 10 nmol/l IGF-1 ± inhibitors or activators at the indicated times. At the end of the incubation, the medium was removed, and islets or INS-1 cells were washed once with ice-cold PBS and lysed with 50–100 μl ice-cold cell lysis buffer consisting of 50 mmol/l HEPES (pH 7.5), 1% (vol/vol) Nonidet P-40, 2 mmol/l activated sodium orthovanadate, 100 mmol/l sodium fluoride, 10 mmol/l sodium pyrophosphate, 4 mmol/l EDTA, 1 mmol/l PMSF, 1 μg/ml leupeptin, and 1 μg/ml aprotinin. Islets/INS-1 cell lysates were obtained by a freeze/thaw cycle or sonication (25 W; 10 s). Insoluble material was removed by centrifugation and the samples were stored at −80°C.
Adenovirus infection.
Dominant negative Ras adenovirus (AdV-Ras-DN) was a gift from Dr. Barbara Kahn (Beth Israel Deaconess Medical Center and Harvard Medical School, Boston, MA) (20). The appropriate titer of AdV-Ras-DN was determined by the addition of various dilutions of the virus to INS-1 cells subcultured in 6-well plates (9.5 cm2) to 60% confluence (∼2 × 106 cells) giving a multiplicity of infection (MOI) ranging from 50 to 2,000 based on 0.5–2.0 × 106 plaque forming units/ml. Purified virus (5 × 109 pfu/106 cells) was added to INS-1 cells, the viral load was replaced with complete medium after 2 h viral infection, and the INS-1 cells were incubated at 37°C, 5% CO2 for a further 24 h, before experimental analysis as previously described (14,15).
Immunoblot analysis.
[3H]thymidine incorporation.
Measurement of intracellular cAMP levels.
Quiescent INS-1 cells were incubated at a basal 3 mmol/l glucose without IGF-1 or in the presence of a stimulatory 15 mmol/l glucose ± 10 nmol/l IGF-1, and ± 20 μmol/l verapamil, for 8 min at 37°C. The media was removed and the cells were lysed with ice-cold lysis reagent contained in the cAMP EIA system kit (Amersham Pharmacia Biotech). The cAMP assay was carried out according to instructions by the manufacturer.
Expression of data and statistics.
Data are presented as means ± SE. Statistically significant differences between groups were analyzed using Student’s t test, where P < 0.05 was considered statistically significant.
RESULTS
Glucose stimulates phosphorylation of Erk-1/2 and p70S6K in INS-1 cells and pancreatic rat islets.
In INS-1 cells, glucose stimulates p70S6K and Erk-1/2 phosphorylation within a different time period, perhaps indicating that this occurs via different signaling mechanisms (9,14, 15). While Erk-1/2 is phosphorylated after a 10-min glucose stimulus, phosphorylation of p70S6K by glucose is only apparent after 20 min with a maximum activation after 40 min. We determined whether the regulation of Erk-1/2 and p70S6K by glucose occurs in isolated rat islets as well as in INS-1 cells. Isolated rat islets were incubated with 3 or 15 mmol/l glucose ± 10 nmol/l IGF-1 for 10 or 40 min. Glucose promoted Erk-1/2 phosphorylation after 10 min of treatment; phosphorylation was slightly enhanced by IGF-1, especially at basal 3 mmol/l glucose, in both islets and INS-1 cells (Fig. 1A). In contrast, glucose itself did not promote PKB phosphorylation; however, the addition of IGF-1 at either a basal 3 mmol/l or stimulatory 15 mmol/l glucose markedly increased PKB phosphorylation activation in islets and INS-1 cells (Fig. 1B). Total Erk-1/2 and total PKB levels were equivalent between samples in both islets and INS-1 cells (Fig. 1A and B). Glucose induced phosphorylation of p70S6K in islets as well as in INS-1 cells, and this phosphorylation was further increased by addition of IGF-1 at both 3 and 15 mmol/l glucose, resulting in a mobility shift in polyacrylamide gel electrophoresis (Fig. 1C). Thus, the results show that glucose-induced phosphorylation activation of Erk-1/2 and p70S6K, but not PKB, occurs in isolated islets as in INS-1 cells (9,14,15).
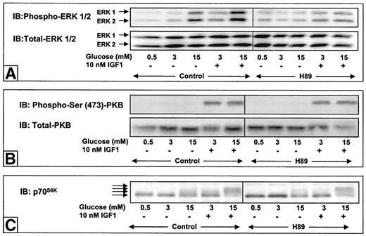
Glucose-induced Erk-1/2, but not p70S6K, phosphorylation can be mediated via protein kinase A.
Glucose has been shown to increase intracellular cAMP levels in pancreatic β-cells (21,22), which in turn can lead to protein kinase A (PKA) activation. As such, PKA is a candidate signaling intermediate that might be involved in glucose-induced Erk-1/2 and p70S6K phosphorylation. INS-1 cells were treated with a specific inhibitor of PKA, H89 (10 μmol/l), for 10 or 40 min at a basal 3 mmol/l or stimulatory 15 mmol/l glucose ± 10 nmol/l IGF-1. H89 inhibited glucose-induced Erk-1/2 phosphorylation without changing total Erk-1/2 levels (Fig. 2A). In contrast, glucose-stimulated p70S6K phosphorylation was unaffected in the presence of 10 μmol/l of H89 (Fig. 2C). These results indicated that glucose-induced activation of Erk-1/2 was dependent on PKA activation, whereas glucose-induced p70S6K phosphorylation was via a PKA-independent pathway. IGF-1-induced PKB phosphorylation was not affected by H89, which argues against a nonspecific cytotoxicity of H89 (Fig. 2B).
GLP-1-mediated PKA activation increases both Erk-1/2 phosphorylation and β-cell proliferation.
GLP-1 activates adenylate cyclase, thereby leading to an increase of cytosolic [cAMP] and a subsequent activation of PKA (23). To further support the role of PKA in glucose-induced Erk-1/2 phosphorylation, it was determined whether raising cAMP levels by GLP-1 further increased Erk-1/2 phosphorylation. Indeed, GLP-1 promoted Erk-1/2 phosphorylation in the absence of glucose or at stimulatory 15 mmol/l glucose ± 10 nmol/l IGF-1 (Fig. 3A). In addition, GLP-1-potentiated glucose-induced Erk-1/2 phosphorylation was inhibited by H89, at 15 mmol/l glucose or 15 mmol/l glucose/IGF-1 (Fig. 3A), indicating that GLP-1-potentiated glucose activation of Erk-1/2 was mediated through a cAMP/PKA pathway. In the same INS-1 cells, IGF-1- induced PKB phosphorylation was slightly decreased in the presence of GLP-1 that was alleviated by H89 (Fig. 3B), although this was not statistically significant. Total Erk-1/2 and PKB levels were approximately equivalent in the treatment groups tested (Fig. 3A and B).
To further assess the role of PKA in the regulation of mitogenic signaling pathways, we tested the effects of H89 on glucose- and GLP-1-induced β-cell mitogenesis. Quiescent INS-1 cells were treated with 3 or 15 mmol/l glucose ± 10 nmol/l IGF-1, ± 10 nmol/l GLP-1, and ± 10 μmol/l H89, and cell mitogenesis was assessed by [3H]thymidine incorporation. β-Cell mitogenesis in control INS-1 cells at 15 mmol/l glucose was increased 12-fold (P < 0.001), and it was increased 41-fold (P < 0.001) in the additional presence of IGF-1 (10 nmol/l), above the 3 mmol/l glucose control (Fig. 3C). GLP-1 significantly increased β-cell mitogenesis, 3.4 ± 0.7-fold (n = 6; P < 0.05) at basal 3 mmol/l glucose (Fig. 3C), and further enhanced IGF-1-induced INS-1 cell proliferation between 2- and 3-fold but only at basal 3 mmol/l glucose (Fig. 3C). In contrast, at a stimulatory 15 mmol/l glucose concentration, GLP-1 did not further enhance β-cell mitogenesis in the presence or absence of IGF-1 (Fig. 3C), in agreement with previous observations where effects of GLP-1 on β-cell proliferation were only observed at glucose concentrations <6 mmol/l (24,25). Nonetheless, at 15 mmol/l glucose, H89 (10 μmol/l) significantly inhibited glucose, and glucose-dependent IGF-1 induced β-cell mitogenesis by 83 and 53%, respectively (P ≤ 0.005; Fig. 3C). In addition, at basal 3 mmol/l glucose, GLP-1- and IGF-1-induced β-cell mitogenesis was also inhibited by >90% in the added presence of H89 (P < 0.001; Fig. 3C).
As an alternative to GLP-1 and H89, we also investigated whether the relatively phosphodiesterase-resistant cell-permeable cAMP antagonist, Rp-8Br-cAMP (100 μmol/l), or agonist, Sp-8Br-cAMP (100 μmol/l), could affect glucose/IGF-1-induced Erk-1/2 phosphorylation activation as previously observed for PKA-mediated Erk-1/2 phosphorylation in other cell types (26). As with GLP-1 (Fig. 3A), the cAMP agonist, Sp-8Br-cAMP, promoted Erk-1/2 phosphorylation in the absence of glucose or further enhanced Erk-1/2 phosphorylation state at a stimulatory 15 mmol/l glucose (Fig. 3D). In contrast the cAMP antagonist, Rp-8Br-cAMP, inhibited 15 mmol/l glucose- induced Erk-1/2 phosphorylation activation (Fig. 3D), similar to that by H89 (Fig. 3A) and correlative with previous observations that Rp-8Br-cAMP inhibited glucose-induced β-cell proliferation (9). Total Erk-1/2 was unchanged in the presence of Sp-8Br-cAMP or Rp-8Br-cAMP (Fig. 3D), emphasizing specific effects on Erk-1/2 phosphorylation. Collectively, these results further support a contributing role of the cAMP/PKA pathway in glucose-induced Erk-1/2 activation and β-cell mitogenesis.
[Ca2+]i influx is required for glucose-induced Erk-1/2, but not p70S6K, phosphorylation activation.
It was examined whether changes in calcium flux affected glucose-induced Erk-1/2 and p70S6K phosphorylation. Verapamil, a relatively specific voltage-gated Ca2+ channel blocker, was used to inhibit [Ca2+]i influx in INS-1 cells. Quiescent INS-1 cells were treated with 15 mmol/l glucose ± 10 nmol/l IGF-1 or ± 10 nmol/l GLP-1, in the presence or absence of verapamil (20 μmol/l), as indicated (Fig. 4). Glucose- and IGF-1-induced Erk-1/2 phosphorylation was inhibited by verapamil (Fig. 4A), as previously observed (13,16). Interestingly, in the presence of GLP-1, verapamil appeared to inhibit only glucose/IGF-1-induced Erk-1/2 phosphorylation. Indeed, glucose-independent GLP-1-induced Erk-1/2 phosphorylation (i.e., at 0.5 mmol/l glucose) was slightly increased in the presence of verapamil (Fig. 4A). IGF-1-induced PKB phosphorylation was slightly decreased in the presence of verapamil (Fig. 4B) and with an even greater decrease of PKB phosphorylation in the presence of GLP-1 (Fig. 4B). In contrast, glucose-induced p70S6K phosphorylation was not affected by either verapamil or GLP-1 (Fig. 4C). Total Erk-1/2 and PKB levels remained relatively unchanged under all conditions (Fig. 4A and B).
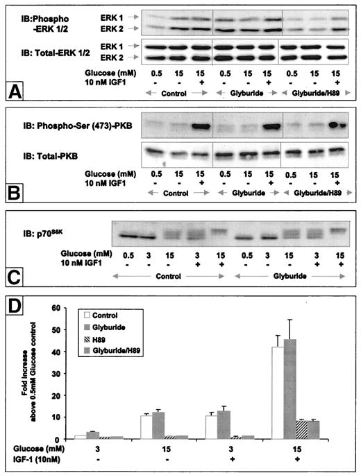
Glyburide-mediated rise in [Ca2+]i increases Erk-1/2, but not p70S6K, phosphorylation activation.
To further assess Ca2+-dependent secondary signals involved in the activation of Erk-1/2 and p70S6K by glucose, the effect of glyburide, a sulfonylurea that induces membrane depolarization leading to an elevation of [Ca2+]i independently of glucose metabolism in β-cells, was tested on both Erk-1/2 and p70S6K phosphorylation. INS-1 cells were treated with 5 μmol/l glyburide ± 10 μmol/l H89 for 10 or 40 min with 15 mmol/l glucose ± 10 nmol/l IGF-1, as indicated (Fig. 5). Glyburide induced Erk-1/2 phosphorylation at 0.5 mmol/l glucose and slightly potentiated the stimulation of Erk-1/2 by 15 mmol/l glucose/IGF-1 (Fig. 5A). H89 inhibited glucose-independent glyburide-induced and glyburide-potentiated glucose/IGF-1-induced Erk-1/2 phosphorylation (Fig. 5A), indicating that glyburide-mediated [Ca2+]i elevation regulated Erk-1/2 phosphorylation by acting upstream of PKA activation. Glyburide did not affect IGF-1-induced PKB phosphorylation (Fig. 5B). Likewise, p70S6K phosphorylation was not modified by glyburide-mediated Ca2+ elevation (Fig. 5C). The effect of glyburide on β-cell mitogenesis was also investigated. Quiescent INS-1 cells were treated with 3 or 15 mmol/l glucose ± 10 nmol/l IGF-1 ± 5 μmol/l glyburide in the presence or absence of H89 (10 μmol/l) and assayed for mitogenesis by [3H]thymidine incorporation. In control INS-1 cells, β-cell mitogenesis was increased 11-fold (P < 0.001) at 15 mmol/l glucose and 42-fold (P < 0.001) in the additional presence of 10 nmol/l IGF-1, above the basal rate at 3 mmol/l glucose (Fig. 5D). Glyburide significantly increased β-cell mitogenesis, 3.2 ± 0.2 fold (n = 7; P < 0.001) at basal 3 mmol/l glucose, but had no significant effect in the additional presence of IGF-1 or at a stimulatory 15 mmol/l glucose ± IGF-1 (Fig. 5D). Nonetheless, H89 inhibited glucose- and IGF-1-induced β-cell mitogenesis in the presence or absence of glyburide (Fig. 5D). These results indicate that elevation of [Ca2+]i mediated by glyburide and/or glucose increases both Erk-1/2 phosphorylation and β-cell proliferation, likely through a PKA-dependent pathway.
Glucose-induced increase in cAMP was inhibited by verapamil.
It has been previously shown that glucose can increase cAMP levels in β-cells (17,21,22). We examined whether a glucose-induced increase in cAMP in INS-1 cells was dependent on a prior increase in cytosolic [Ca2+]i. This would be symptomatic of [Ca2+]i elevation acting upstream of PKA activation for glucose-induced Erk-1/2 phosphorylation. A stimulatory 15 mmol/l of glucose increased intracellular [cAMP] by approximately twofold (P ≤ 0.05) compared with basal 3 mmol/l glucose, and this was not augmented by the additional presence of IGF-1 at 15 mmol/l glucose (Fig. 6). The addition of 20 μmol/l verapamil, which would block a glucose-induced rise in cytosolic [Ca2+]i (17), significantly prevented this glucose-induced rise in [cAMP] (P ≤ 0.01) compared with that in the absence of verapamil, regardless of whether IGF-1 was present or not (Fig. 6). These data indicate that the glucose-induced rise in [cAMP] was dependent on an upstream increase in cytosolic [Ca2+]i.
Glucose-, GLP-1-, and glyburide-induced Erk-1/2 regulation occurs upstream of MEK activation but is independent of Ras.
Erk-1/2 is the terminal kinase of a three-protein kinase cascade, Raf-1/MEK-1/2/Erk-1/2 (8). IGF-1 activation of Ras via IRS/Grb2-mSOS or Shc/Grb2-mSOS leads to phosphorylation activation of the same kinase cascade. However, the point where glucose regulation on this MAPK pathway enters has not been previously defined. To determine whether glucose acts upstream or directly on Erk, we tested the effects of a MEK inhibitor, PD98059, on glucose-, GLP-1-, and glyburide-induced Erk-1/2 phosphorylation. INS-1 cells were pretreated with 50 μmol/l PD98059 for 20 min and then incubated with 3 or 15 mmol/l glucose ± IGF-1, and GLP-1 or glyburide. PD98059 inhibited glucose/IGF-1- induced Erk-1/2 phosphorylation (Fig. 6A). Likewise, glyburide- and GLP-1-potentiated phosphorylation activation of Erk-1/2 was inhibited by PD98059 (Fig. 7A). In the same INS-1 cells, IGF-1-induced PKB phosphorylation was unaffected by PD98059 (data not shown). Total Erk-1/2 and PKB levels were equivalent in all the samples tested (Fig. 7A). Depending on the cell type, PKA exerts different regulatory effects on MAP kinase activation, acting either through Ras or independently of Ras (27). Thus, we examined whether blocking Ras by adenoviral-mediated expression of a dominant negative Ras (AdV-Ras-DN) would affect glucose-, GLP-1-, and glyburide-induced Erk-1/2 phosphorylation in pancreatic β-cells. INS-1 cells were infected with AdV-Ras-DN or a control adenovirus expressing luciferase (AdV-Luc) and were then incubated with glucose ± 10 nmol/l IGF-1 and GLP-1 or glyburide. In AdV-Ras-DN-infected cells, phosphorylation of Erk-1/2 induced by glucose, GLP-1, and glyburide was equivalent to the response in AdV-Luc-infected cells (Fig. 7B). However, in the added presence of IGF-1 (10 nmol/l), IGF-1-induced Erk-1/2 phosphorylation was markedly inhibited in AdV-Ras-DN-infected INS-1 cells compared with AdV-Luc-infected control INS-1 cells (Fig. 7B). In addition, transforming growth factor (TGF)-α (10 nmol/l)-induced phosphorylation activation of Erk-1/2 in INS-1 cells, as previously described (15), was completely blocked in AdV-Ras-DN-infected INS-1 cells (data not shown). As TGF-α, like IGF-1, requires Ras activation for inducing downstream phosphorylation activation of Erk-1/2 (8,28,29), these observations are consistent with Ras activation being markedly dampened in AdV-Ras-DN-infected INS-1 cells. Nonetheless, IGF-1-induced PKB phosphorylation remained unchanged in AdV-Ras-DN-infected INS-1 cells compared with AdV-Luc-infected INS-1 cells (data not shown). Total Erk-1/2 (Fig. 7B) and total PKB levels were equivalent in all samples tested. The effect of adenoviral-mediated expression of Ras-DN on glucose- and IGF-1-induced β-cell mitogenesis was also investigated. INS-1 cells were infected with AdV-Ras-DN or a control adenovirus expressing GFP (AdV-GFP), and [3H]thymidine incorporation was measured in INS-1 cells treated with 3 and 15 mmol/l glucose alone or in the additional presence of 10 nmol/l IGF-1 (Fig. 7C). In INS-1 cells expressing Ras-DN, at basal 3 mmol/l glucose, IGF-1-induced β-cell mitogenesis was significantly decreased, 5.3 ± 1.0-fold vs. 10.5 ± 1.9-fold (above the 0.5 mmol/l glucose control), as compared with AdV-GFP-infected control cells (Fig. 7C; P < 0.05). Likewise, at a stimulatory 15 mmol/l of glucose, IGF-1-induced mitogenesis in Ras-DN-expressing cells was 15.8 ± 3.5-fold vs. 31.4 ± 6.5-fold (above the 0.5 mmol/l glucose control) compared with AdV-GFP-infected control cells (Fig. 7C; P < 0.05). In contrast, in the absence of IGF-1, 15 mmol/l glucose-induced β-cell mitogenesis was not significantly decreased in cells expressing Ras-DN (Fig. 7C). Together, these results indicate that glucose, cAMP, and Ca2+ signaling activate the MAPK pathway by interacting upstream of Erk but independently of Ras.
DISCUSSION
Glucose can stimulate β-cell mitogenesis by activating certain protein kinases involved in mitogenic signaling pathways (9,12–16). However, the mechanism whereby glucose activates protein kinase cascades in β-cells is not particularly well understood. Two prominent protein kinases in mitogenic signaling pathways that are directly activated by glucose in β-cells, Erk-1/2 and p70S6K, have been the focus of this study. Glucose-induced activation of Erk-1/2 is Ca2+ dependent and can be potentiated by cAMP in β-cells (13,16), but the signaling pathway has not been elucidated yet. In addition, it has been unclear whether glucose-induced phosphorylation of p70S6K involves [Ca2+] and/or cAMP secondary signals or is via a distinct mechanism.
In this study we have found that glucose-induced Erk-1/2 phosphorylation activation is both Ca2+ and PKA dependent, since this was inhibited by the l-type Ca2+ channel blocker verapamil and the PKA inhibitor H89. As IGF-1-induced activation of Erk-1/2 in β-cells is glucose dependent (9), this too was compromised in the presence of verapamil or H89 but was nonetheless still apparent. In the added presence of GLP-1, where cAMP would be further elevated (23), glucose/IGF-1-induced Erk-1/2 phosphorylation activation was further increased and inhibited by H89, indicating that cAMP-induced Erk-1/2 phosphorylation was mediated by PKA. Glyburide was used to raise cytosolic [Ca2+]i, which independently induced, as well as further potentiated, glucose/IGF-1- induced Erk-1/2 phosphorylation activation that was also inhibited by H89. This suggested that both Ca2+ and PKA were required for glucose-induced activation of Erk-1/2. Noteworthy was the observation that GLP-1-induced Erk-1/2 phosphorylation was unaffected by verapamil (Fig. 4A), despite verapamil-induced inhibition of glucose-induced Erk-1/2 phosphorylation, indicating that GLP-1 probably stimulates Erk-1/2 phosphorylation activation independently of Ca2+. Together, these results suggested that the Ca2+ requirement for glucose-induced Erk-1/2 phosphorylation activation likely lies upstream of a PKA requirement. Supportive of this notion was that the glucose-induced elevation of intracellular [cAMP] in β-cells could be completely blocked by verapamil, which inhibits the glucose-induced influx of extracellular Ca2+ to raise β-cell cytosolic [Ca2+]i (17,30, 31). In this regard, it has been previously shown that increased cytosolic [Ca2+]i levels can activate Ca2+/calmodulin-dependent adenylate cyclase (type 3) activity, thereby leading to an increase of cAMP level in pancreatic rat islets (32). Thus, according to these observations, we propose the following pathway where glucose- or glyburide-mediated Ca2+ influx increases cytosolic Ca2+, which may activate the Ca2+/calmodulin-dependent AC type 3, leading to an increase of cAMP levels that activate PKA to then mediate Erk-1/2 phosphorylation.
The glucose-induced activation of PKA in β-cells appeared to be important in terms of the glucose-dependent aspect of IGF-1-induced mitogenesis, since the PKA inhibitor H89 was also effective in reducing IGF-1-induced β-cell mitogenesis. It has previously been shown that inhibiting glucose metabolism, even at stimulatory glucose concentrations, prevents IGF-1- and GH-induced β-cell mitogenesis (9,12). As such, a glucose-induced rise in cytosolic [Ca2+]i and subsequent PKA activation could, in part, provide a platform for such growth factors to further induce β-cell proliferation as governed by the metabolic demand. Whether this is provided by glucose/PKA-induced Erk-1/2 phosphorylation and/or by other, yet to be determined, PKA substrates that influence β-cell mitogenesis should be investigated by further experimentation. Nonetheless, another consideration should also be that Erk-1/2 phosphorylation is complex (8), and that other protein kinases could be activated by glucose in the β-cell (e.g., CaMK-II via elevated [Ca2+]i or certain PKC isoforms via elevation of long-chain acyl-CoA [30,31]) that in turn also contribute to Erk-1/2 phosphorylation in addition to that by PKA (8). This might be reflective of other glucose-activated kinases contributing to the apparent glucose dependency of GLP-1- potentiating Erk-1/2 phosphorylation (Fig. 3A); however, this could also be due to the additive effect of both GLP-1 and glucose synergistically elevating cAMP levels to give a more potent activation of PKA. It has been previously found that inhibition of CaMK-II does not affect glucose-induced β-cell mitogenesis or phosphorylation of Erk-1/2 (9), and, as such, CaMK-II is unlikely to contribute to the glucose dependency of growth factor-induced β-cell mitogenesis. Nonetheless, other protein kinases, such as novel PKC isoforms (8), cannot for the moment be ruled out in contributing to the glucose-induced Erk-1/2 phosphorylation, in addition to PKA.
Notwithstanding, another possible mechanism for a glucose-induced increase in Erk-1/2 phosphorylation activation in β-cells might be via secreted insulin positively feeding back on the β-cell to activate insulin signal transduction pathways (4). However, in terms of glucose-induced β-cell mitogenesis, this appears unlikely for the short-term Erk-1/2 phosphorylation observed in this study. Firstly, it has been previously shown that insulin does not compete with IGF-1-induced β-cell mitogenesis, or significantly augments glucose-induced β-cell mitogenesis, unless at pharmacologically high concentrations ≥10 μmol/l (9). It is unlikely that such concentrations of insulin were reached in the short 10-min period used in this study to examine glucose-induced Erk-1/2 phosphorylation. Secondly, significant glucose-induced activation of Erk-1/2 can be observed in β-cells within 2 min (15), yet there is a 2-min lag period before detectable amounts of insulin are secreted from a β-cell in response to glucose (33). As such, stimulatory glucose concentrations can induce Erk-1/2 phosphorylation independently from insulin secreted from the β-cell. Thirdly, if glucose-induced Erk-1/2 phosphorylation activation was mediated by secreted insulin, a glucose-induced activation of PKB should also be observed via insulin-mediated activation of the IRS-2/PI3K/PDK-1/PKB pathway (4). However, at the least in the short term, glucose does not induce PKB phosphorylation activation despite glucose-induced Erk-1/2 phosphorylation in the same cells (Figs. 1–5) (14,15). Nonetheless, for a longer-term glucose stimulation of β-cells it is possible that glucose-induced secreted insulin may play a supporting role that further contributes to sustained Erk-1/2 phosphorylation (15), perhaps by inhibiting endoplasmic reticulum Ca2+ uptake to maintain high levels of cytosolic [Ca2+]i (34).
Nevertheless, the question arises as to how glucose-induced PKA activation leads to Erk-1/2 phosphorylation. This does not appear to be a direct PKA-induced phosphorylation of Erk-1/2 (8). Moreover, glucose-induced phosphorylation activation of Erk-1/2 occurs independently of tyrosine-phosphorylated IRS (15). To further define the target of PKA-mediated glucose regulation of Erk-1/2, we examined the effects of the MEK inhibitor PD98059 and expression of dominant negative Ras on glucose-, GLP-1-, and glyburide-induced Erk-1/2 phosphorylation. PD 98059 inhibited glucose-, GLP-1-, glyburide-, and IGF-1-induced Erk-1/2 phosphorylation, indicating that each of these factors requires MEK activation to promote Erk-1/2 phosphorylation and thus acts upstream of MEK. However adenoviral-mediated expression of dominant negative Ras did not affect Erk-1/2 phosphorylation in response to glucose, GLP-1, or glyburide, whereas IGF-1-induced Erk-1/2 phosphorylation was inhibited (Fig. 7B). In addition, the IGF-1 component of the glucose-dependent IGF-1-induced mitogenesis was markedly decreased in AdV-Ras-DN-infected cells, whereas the mitogenic response to glucose alone was unaffected (Fig. 7C). These observations suggest that PKA mediates glucose stimulation of Erk-1/2 phosphorylation independently of the IRS/Shc/Ras signaling pathway, but upstream of MEK activation. As such, in β-cells, PKA is probably acting directly on Raf-1 or MEK to activate its serine/threonine kinase activity by phosphorylation, as previously described in other eukaryotic cell types (8,35,36).
In general, increasing cytosolic cAMP levels stimulates β-cell mitogenesis in most of the experimental β-cell models (9,25, 37), with the exception of fetal rat islets (38). In INS-1 cells, GLP-1 has been shown to induce an increase of intracellular cAMP levels independently of glucose and induce mitogenesis, in part via PI3K activation leading to PKCζ activation (24), perhaps by a direct interaction between G protein-coupled GLP-1 receptor and IGF-1 receptor itself (39). However, in the present study, we indicate that GLP-1-induced β-cell mitogenesis can also be mediated via PKA, by activation of GαS-coupled GLP-1 receptor stimulating adenylate cyclase, which increases cAMP levels and induces PKA-mediated phosphorylation activation of Raf-1, MEK, and Erk-1/2 independent of IRS-2 and Ras (8). Another general observation was that PKB was only activated by IGF-1 and not by glucose or glyburide, as previously observed (14). However, it was noted that IGF-1-induced PKB phosphorylation was slightly inhibited by GLP-1, and this was alleviated by H89. This might be consistent with previous observations, that if cAMP levels are elevated high enough, opposing effects on PKB phosphorylation occur (40, 41). However, further investigations will be required to better establish the biological consequences of this negative effect of PKA on PKB phosphorylation. Nonetheless, it is worthy of comment.
Although glucose-induced Erk-1/2 phosphorylation appeared to be via a Ca2+- and PKA-dependent pathway, a distinct signaling mechanism mediated glucose-induced p70S6K phosphorylation. Indeed, in the same cells, changes in [Ca2+]i affected Erk-1/2 but not p70S6K phosphorylation. Likewise, GLP-1-mediated PKA activation or PKA inhibition modulated Erk-1/2 phosphorylation without affecting p70S6K phosphorylation. It has been previously shown that glucose-induced increase in p70S6K phosphorylation requires glucose metabolism and is mediated via mTOR independent of upstream PKB activation (9,14). As such, signals regulating glucose-induced p70S6K phosphorylation may directly emanate from glycolysis and/or glucose mitochondrial oxidation. In this regard, mTOR has been recently proposed as an “ATP sensor” (42). A consequence of increased glucose metabolism in β-cells is increased ATP generation (30), which in turn could render activation of mTOR to induce p70S6K phosphorylation. Such a mechanism would be consistent with a glutamine/leucine-induced phosphorylation of p70S6K via mTOR in β-cells that occurs through generation of metabolic secondary signals from the Krebs cycle (43).
In summary, the present study indicates that Erk-1/2 and p70S6K are regulated by glucose through distinct signaling mechanisms, which are outlined in Fig. 8. An increase in extracellular glucose is taken up in the β-cell via the GLUT2 transporter and there is augmented glucose metabolism leading to a rise in the generation of ATP and a consequential increased in the intracellular ATP-to-ADP ratio. The increase in ATP levels activates mTOR, acting as an “ATP sensor” (42), resulting in a glucose-induced increase in p70S6K phosphorylation, independent of IRS-2, Ca2+, or PKA. The glucose-induced increase in the ATP-to-ADP ratio also closes the ATP-sensitive K+ channel, which, in turn, causes membrane depolarization and opening of voltage-sensitive l-type Ca2+ channels leading to increased cytosolic [Ca2+]i (30). The increased [Ca2+]i leads to activation of the Ca2+/calmodulin-dependent adenylate cyclase (AC type 3) (32), which raises the cytosolic cAMP level leading to PKA activation. PKA then causes Raf-1 and/or MEK phosphorylation activation, thereby increasing Erk-1/2 phosphorylation (Fig. 8). IGF-1 can augment glucose-induced Erk-1/2 and p70S6K phosphorylation in the β-cell through IRS-2 and Shc signal transduction pathways (Fig. 8) (1,4).
Glucose regulation of Erk-1/2 and p70S6K in isolated rat islets. Cell lysates were prepared from isolated rat islets incubated 1 h in serum-free medium containing 3 mmol/l glucose (see research design and methods) before stimulation with 3 or 15 mmol/l glucose ± 10 nmol/l IGF-1 at 37°C for 10 min for analysis of Erk-1/2 and PKB phosphorylation or 40 min for analysis of p70S6K phosphorylation as described (14,15). The cell lysates were subjected to immunoblot (IB) analysis as described under research design and methods using phospho-Erk-1/2 and total Erk-1/2 antibodies (A), phospho-Ser-473-PKB and total-PKB antibodies (B), and p70S6K antibody (C). The islet results are shown in parallel with IB of cells lysates from similarly treated INS-1 cells and are representative of at least three independent experiments.
Glucose regulation of Erk-1/2 and p70S6K in isolated rat islets. Cell lysates were prepared from isolated rat islets incubated 1 h in serum-free medium containing 3 mmol/l glucose (see research design and methods) before stimulation with 3 or 15 mmol/l glucose ± 10 nmol/l IGF-1 at 37°C for 10 min for analysis of Erk-1/2 and PKB phosphorylation or 40 min for analysis of p70S6K phosphorylation as described (14,15). The cell lysates were subjected to immunoblot (IB) analysis as described under research design and methods using phospho-Erk-1/2 and total Erk-1/2 antibodies (A), phospho-Ser-473-PKB and total-PKB antibodies (B), and p70S6K antibody (C). The islet results are shown in parallel with IB of cells lysates from similarly treated INS-1 cells and are representative of at least three independent experiments.
Effects of a PKA inhibitor on glucose-induced Erk-1/2 and p70S6K phosphorylation. Quiescent INS-1 cells were stimulated with 3 or 15 mmol/l glucose ± 10 nmol/l IGF-1 and 0.5 mmol/l glucose without IGF-1 as control in either the absence or the presence of 10 μmol/l H89, as indicated at 37°C for 10 min for analysis of Erk-1/2 and PKB phosphorylation or 40 min for analysis of p70S6K phosphorylation, as described (14,15). The cell lysates were subjected to immuno-blot (IB) analysis as described under research design and methods using phospho-Erk-1/2 and total Erk-1/2 antibodies (A), phospho-Ser-473-PKB and total-PKB antibodies (B), and p70S6K antibody (C). The results shown are representative of at least three independent experiments.
Effects of a PKA inhibitor on glucose-induced Erk-1/2 and p70S6K phosphorylation. Quiescent INS-1 cells were stimulated with 3 or 15 mmol/l glucose ± 10 nmol/l IGF-1 and 0.5 mmol/l glucose without IGF-1 as control in either the absence or the presence of 10 μmol/l H89, as indicated at 37°C for 10 min for analysis of Erk-1/2 and PKB phosphorylation or 40 min for analysis of p70S6K phosphorylation, as described (14,15). The cell lysates were subjected to immuno-blot (IB) analysis as described under research design and methods using phospho-Erk-1/2 and total Erk-1/2 antibodies (A), phospho-Ser-473-PKB and total-PKB antibodies (B), and p70S6K antibody (C). The results shown are representative of at least three independent experiments.
GLP-1-induced Erk-1/2 phosphorylation and [3H]thymidine incorporation is mediated by PKA. Quiescent INS-1 cells were stimulated with 15 mmol/l glucose ± 10 nmol/l IGF-1 and 0.5 mmol/l glucose without IGF-1 as control, alone or in the presence of 10 nmol/l GLP-1 ± 10 μmol/l H89, the cell-permeable PKA agonist Sp-8Br-cAMP, or the cell-permeable PKA antagonist Rp-8Br-cAMP, as indicated for 10 min at 37°C. The cell lysates were subjected to immunoblot (IB) analysis as described under research design and methods using phospho-Erk-1/2 and total Erk-1/2 antibodies (A and D) and phospho-Ser-473-PKB and total-PKB antibodies (B). The results shown are representative of at least three independent experiments. C: [3H]thymidine incorporation assays were used as a marker of β-cell mitogenesis and carried out as described under research design and methods at 3 or 15 mmol/l glucose ± 10 nmol/l IGF-1, ± 10 nmol/l GLP-1, and/or 10 μmol/l H89 as indicated. The [3H]thymidine incorporation data are shown as a fold increase above 0.5 mmol/l glucose control as a mean ± SE of six of more individual experiments performed in triplicate.
GLP-1-induced Erk-1/2 phosphorylation and [3H]thymidine incorporation is mediated by PKA. Quiescent INS-1 cells were stimulated with 15 mmol/l glucose ± 10 nmol/l IGF-1 and 0.5 mmol/l glucose without IGF-1 as control, alone or in the presence of 10 nmol/l GLP-1 ± 10 μmol/l H89, the cell-permeable PKA agonist Sp-8Br-cAMP, or the cell-permeable PKA antagonist Rp-8Br-cAMP, as indicated for 10 min at 37°C. The cell lysates were subjected to immunoblot (IB) analysis as described under research design and methods using phospho-Erk-1/2 and total Erk-1/2 antibodies (A and D) and phospho-Ser-473-PKB and total-PKB antibodies (B). The results shown are representative of at least three independent experiments. C: [3H]thymidine incorporation assays were used as a marker of β-cell mitogenesis and carried out as described under research design and methods at 3 or 15 mmol/l glucose ± 10 nmol/l IGF-1, ± 10 nmol/l GLP-1, and/or 10 μmol/l H89 as indicated. The [3H]thymidine incorporation data are shown as a fold increase above 0.5 mmol/l glucose control as a mean ± SE of six of more individual experiments performed in triplicate.
Verapamil inhibits glucose/IGF-1-induced Erk-1/2 phosphorylation but does not affect p70S6K phosphorylation. Quiescent INS-1 cells were stimulated with 15 mmol/l glucose ± 10 nmol/l IGF-1 and 0.5 mmol/l glucose without IGF-1 as control, alone or in the presence of 20 μmol/l verapamil, and 10 nmol/l GLP-1 as indicated at 37°C for 10 min for analysis of Erk-1/2 and PKB phosphorylation or 40 min for analysis of p70S6K phosphorylation, as described (14,15). The cell lysates were subjected to immunoblot (IB) analysis as described under research design and methods using phospho-Erk-1/2 and total Erk-1/2 antibodies (A), phospho-Ser-473-PKB and total-PKB antibodies (B), and p70S6K antibody (C). The results shown are representative of at least three independent experiments.
Verapamil inhibits glucose/IGF-1-induced Erk-1/2 phosphorylation but does not affect p70S6K phosphorylation. Quiescent INS-1 cells were stimulated with 15 mmol/l glucose ± 10 nmol/l IGF-1 and 0.5 mmol/l glucose without IGF-1 as control, alone or in the presence of 20 μmol/l verapamil, and 10 nmol/l GLP-1 as indicated at 37°C for 10 min for analysis of Erk-1/2 and PKB phosphorylation or 40 min for analysis of p70S6K phosphorylation, as described (14,15). The cell lysates were subjected to immunoblot (IB) analysis as described under research design and methods using phospho-Erk-1/2 and total Erk-1/2 antibodies (A), phospho-Ser-473-PKB and total-PKB antibodies (B), and p70S6K antibody (C). The results shown are representative of at least three independent experiments.
Glyburide induces Erk-1/2 phosphorylation and basal [3H]thymidine incorporation via PKA but not p70S6K phosphorylation. Quiescent INS-1 cells were stimulated with 15 mmol/l glucose ± 10 nmol/l IGF-1 and 0.5 mmol/l glucose without IGF-1 as control, alone or in the presence of 5 μmol/l glyburide and 10 μmol/l H89 as indicated at 37°C for 10 min for analysis of Erk-1/2 and PKB phosphorylation or 40 min for analysis of p70S6K phosphorylation, as described (14,15). The cell lysates were subjected to immunoblot (IB) analysis as described under research design and methods using phospho-Erk-1/2 and total Erk-1/2 antibodies (A), phospho-Ser-473-PKB and total-PKB antibodies (B), and p70S6K antibody (C). The results shown are representative of at least three independent experiments. D: [3H]thymidine incorporation assays were used as a marker of β-cell mitogenesis and carried out as described under research design and methods at 3 or 15 mmol/l glucose ± 10 nmol/l IGF-1, ± 5 μmol/l glyburide, and 10 μmol/l H89 as indicated. The [3H]thymidine incorporation data are shown as a fold increase above 0.5 mmol/l glucose control as a mean ± SE of six or more individual experiments performed in triplicate.
Glyburide induces Erk-1/2 phosphorylation and basal [3H]thymidine incorporation via PKA but not p70S6K phosphorylation. Quiescent INS-1 cells were stimulated with 15 mmol/l glucose ± 10 nmol/l IGF-1 and 0.5 mmol/l glucose without IGF-1 as control, alone or in the presence of 5 μmol/l glyburide and 10 μmol/l H89 as indicated at 37°C for 10 min for analysis of Erk-1/2 and PKB phosphorylation or 40 min for analysis of p70S6K phosphorylation, as described (14,15). The cell lysates were subjected to immunoblot (IB) analysis as described under research design and methods using phospho-Erk-1/2 and total Erk-1/2 antibodies (A), phospho-Ser-473-PKB and total-PKB antibodies (B), and p70S6K antibody (C). The results shown are representative of at least three independent experiments. D: [3H]thymidine incorporation assays were used as a marker of β-cell mitogenesis and carried out as described under research design and methods at 3 or 15 mmol/l glucose ± 10 nmol/l IGF-1, ± 5 μmol/l glyburide, and 10 μmol/l H89 as indicated. The [3H]thymidine incorporation data are shown as a fold increase above 0.5 mmol/l glucose control as a mean ± SE of six or more individual experiments performed in triplicate.
Verapamil inhibits glucose-induced increase in cAMP levels. Quiescent INS-1 cells were incubated for 8 min at 37°C at either a basal 3 mmol/l glucose without IGF-1 as control or in the presence of a stimulatory 15 mmol/l glucose ± 10 nmol/l IGF-1, as indicated. The intracellular cAMP levels were determined as described under research design and methods. The results shown are a mean ± SE of three or more independent experiments.
Verapamil inhibits glucose-induced increase in cAMP levels. Quiescent INS-1 cells were incubated for 8 min at 37°C at either a basal 3 mmol/l glucose without IGF-1 as control or in the presence of a stimulatory 15 mmol/l glucose ± 10 nmol/l IGF-1, as indicated. The intracellular cAMP levels were determined as described under research design and methods. The results shown are a mean ± SE of three or more independent experiments.
Erk-1/2 phosphorylation induced by glucose, GLP-1, and glyburide is inhibited by MEK inhibition but independent of Ras. A: Quiescent INS-1 cells were stimulated with 3 or 15 mmol/l glucose ± 10 nmol/l IGF-1, ±10 nmol/l GLP-1, 5 μmol/l glyburide, and/or 50 μmol/l PD98059 as indicated for 10 min at 37°C. The cell lysates were subjected to immunoblot (IB) analysis as described under research design and methods using phospho-Erk-1/2 and total Erk-1/2. B: INS-1 cells were infected with either AdV-Luc to express firefly luciferase as a control or with AdV-Ras-DN to express a dominant negative form of Ras (20), as described under research design and methods, and were then made quiescent in serum-free media for 24 h as described (14,15). These cells were then stimulated with 3 or 15 mmol/l glucose ± 10 nmol/l IGF-1, ±10 nmol/l GLP-1, or 5 μmol/l glyburide as indicated for 10 min at 37°C. The cell lysates were subjected to immunoblot (IB) analysis as described under research design and methods using phospho-Erk-1/2 and total Erk-1/2. C: [3H]thymidine incorporation assays were carried out on AdV-Ras-DN- and AdV-GFP-infected INS-1 cells to assess β-cell mitogenesis as described under research design and methods with 3 or 15 mmol/l glucose ± 10 nmol/l IGF-1, as indicated. The [3H]thymidine incorporation data are shown as a fold increase above 0.5 mmol/l glucose control as a mean ± SE of six or more individual experiments performed in triplicate.
Erk-1/2 phosphorylation induced by glucose, GLP-1, and glyburide is inhibited by MEK inhibition but independent of Ras. A: Quiescent INS-1 cells were stimulated with 3 or 15 mmol/l glucose ± 10 nmol/l IGF-1, ±10 nmol/l GLP-1, 5 μmol/l glyburide, and/or 50 μmol/l PD98059 as indicated for 10 min at 37°C. The cell lysates were subjected to immunoblot (IB) analysis as described under research design and methods using phospho-Erk-1/2 and total Erk-1/2. B: INS-1 cells were infected with either AdV-Luc to express firefly luciferase as a control or with AdV-Ras-DN to express a dominant negative form of Ras (20), as described under research design and methods, and were then made quiescent in serum-free media for 24 h as described (14,15). These cells were then stimulated with 3 or 15 mmol/l glucose ± 10 nmol/l IGF-1, ±10 nmol/l GLP-1, or 5 μmol/l glyburide as indicated for 10 min at 37°C. The cell lysates were subjected to immunoblot (IB) analysis as described under research design and methods using phospho-Erk-1/2 and total Erk-1/2. C: [3H]thymidine incorporation assays were carried out on AdV-Ras-DN- and AdV-GFP-infected INS-1 cells to assess β-cell mitogenesis as described under research design and methods with 3 or 15 mmol/l glucose ± 10 nmol/l IGF-1, as indicated. The [3H]thymidine incorporation data are shown as a fold increase above 0.5 mmol/l glucose control as a mean ± SE of six or more individual experiments performed in triplicate.
Schematic representation of a model for glucose-induced Erk-1/2 and p70S6K phosphorylation.
Schematic representation of a model for glucose-induced Erk-1/2 and p70S6K phosphorylation.
Article Information
This work was supported by grants from the National Institutes of Health (DK 55269 and DK60266) and the Juvenile Diabetes Research Foundation. We thank Dr. Barbara Kahn for the dominant negative Ras and Cynthia Jacobs for the preparation of this manuscript.
REFERENCES
Address correspondence and reprint requests to Christopher J. Rhodes, PhD, Pacific Northwest Research Institute, 720 Broadway, Seattle, WA 98122. E-mail: cjr@pnri.org.
Received for publication 25 July 2002 and accepted in revised form 23 December 2002.
C.E.W. is currently affiliated with Medizinische Klinik I, Universitat Regensburg, F.S. Staub-Allee II, 93042 Regensburg, Germany.
EIA, enzyme immunoassay; GH, growth hormone; GLP-1, glucagon-like peptide-1; Grb2, growth factor receptor-bound protein-2; GSK3, glycogen synthase kinase-3; IRS, insulin receptor substrate; MAPK, mitogen-activated protein kinase; PDK1, phosphoinositide-dependent kinase-1; PI3K, phosphatidylinositol 3-kinase; PKA, protein kinase A; PKB, protein kinase B; MEK, MAP/Erk kinase; mSOS, mammalian Son of Sevenless; mTOR, mammalian target of rapamycin.


![FIG. 3. GLP-1-induced Erk-1/2 phosphorylation and [3H]thymidine incorporation is mediated by PKA. Quiescent INS-1 cells were stimulated with 15 mmol/l glucose ± 10 nmol/l IGF-1 and 0.5 mmol/l glucose without IGF-1 as control, alone or in the presence of 10 nmol/l GLP-1 ± 10 μmol/l H89, the cell-permeable PKA agonist Sp-8Br-cAMP, or the cell-permeable PKA antagonist Rp-8Br-cAMP, as indicated for 10 min at 37°C. The cell lysates were subjected to immunoblot (IB) analysis as described under research design and methods using phospho-Erk-1/2 and total Erk-1/2 antibodies (A and D) and phospho-Ser-473-PKB and total-PKB antibodies (B). The results shown are representative of at least three independent experiments. C: [3H]thymidine incorporation assays were used as a marker of β-cell mitogenesis and carried out as described under research design and methods at 3 or 15 mmol/l glucose ± 10 nmol/l IGF-1, ± 10 nmol/l GLP-1, and/or 10 μmol/l H89 as indicated. The [3H]thymidine incorporation data are shown as a fold increase above 0.5 mmol/l glucose control as a mean ± SE of six of more individual experiments performed in triplicate.](https://ada.silverchair-cdn.com/ada/content_public/journal/diabetes/52/4/10.2337_diabetes.52.4.974/2/m_db0430732003.jpeg?Expires=1712987864&Signature=CjxA4Y8I6UotDOkQroakc1T0~Myi7NiECAVrYdPxk6YX~e-ahW47SkSGsNdGoiGlURzMX~t9HvD4KRV4xVgM00KUARHLoA9KiPsv19TBcZlExQGQPI8n68hNE4w51QgzPBDn85UbMg08R9SUzhIUijsHr7tFKE2YhGxQOvjpPjlyNaZPHqtRY70ethksUDJTVtSDvJ4x-Kxv6I3NFcCDjrShvDmI8TqaR8dgym~dwkVBWYD9yzczftkNYWugAvLeDX1QiB3NPxDNF5dNlfZOcX9aOKZNh~zB38oUG-uK6ujAPVGuABb5VNjtSg1nx9L5M~5AwpZdFaa3FdRNFoADpA__&Key-Pair-Id=APKAIE5G5CRDK6RD3PGA)

![FIG. 5. Glyburide induces Erk-1/2 phosphorylation and basal [3H]thymidine incorporation via PKA but not p70S6K phosphorylation. Quiescent INS-1 cells were stimulated with 15 mmol/l glucose ± 10 nmol/l IGF-1 and 0.5 mmol/l glucose without IGF-1 as control, alone or in the presence of 5 μmol/l glyburide and 10 μmol/l H89 as indicated at 37°C for 10 min for analysis of Erk-1/2 and PKB phosphorylation or 40 min for analysis of p70S6K phosphorylation, as described (14,15). The cell lysates were subjected to immunoblot (IB) analysis as described under research design and methods using phospho-Erk-1/2 and total Erk-1/2 antibodies (A), phospho-Ser-473-PKB and total-PKB antibodies (B), and p70S6K antibody (C). The results shown are representative of at least three independent experiments. D: [3H]thymidine incorporation assays were used as a marker of β-cell mitogenesis and carried out as described under research design and methods at 3 or 15 mmol/l glucose ± 10 nmol/l IGF-1, ± 5 μmol/l glyburide, and 10 μmol/l H89 as indicated. The [3H]thymidine incorporation data are shown as a fold increase above 0.5 mmol/l glucose control as a mean ± SE of six or more individual experiments performed in triplicate.](https://ada.silverchair-cdn.com/ada/content_public/journal/diabetes/52/4/10.2337_diabetes.52.4.974/2/m_db0430732005.jpeg?Expires=1712987864&Signature=po1aTErsLFCej7h4K15QS8Obzm6mAZInUOqTXjPnLrk4h0aJv64bFqym7HFSQ00Ki0KTmFq5n4IA0xKLhRyOB2cr65-fwrx9w0Eiywwk9dYFhwPT9tupLnUHacq0u9XKXOLPVkCbLzwglFHg5BZnw1yO0gBSiiBTGyCJQ6dxzTqD0HVMZLhtt-Sr8GKVYFqvITB1EP6nEPsx~Z1nQp~zc01IMc7t~veJ9BTAH226704HRnaRMe-VExKR0fwYkkseitjTcX6LMUIL8caJtoXV2YPAp3G6KqrvBEiN17jITCWrxwK8VjTbCChbTdnL601W-BK~eXqt2kzW3G~qqDhGLg__&Key-Pair-Id=APKAIE5G5CRDK6RD3PGA)

![FIG. 7. Erk-1/2 phosphorylation induced by glucose, GLP-1, and glyburide is inhibited by MEK inhibition but independent of Ras. A: Quiescent INS-1 cells were stimulated with 3 or 15 mmol/l glucose ± 10 nmol/l IGF-1, ±10 nmol/l GLP-1, 5 μmol/l glyburide, and/or 50 μmol/l PD98059 as indicated for 10 min at 37°C. The cell lysates were subjected to immunoblot (IB) analysis as described under research design and methods using phospho-Erk-1/2 and total Erk-1/2. B: INS-1 cells were infected with either AdV-Luc to express firefly luciferase as a control or with AdV-Ras-DN to express a dominant negative form of Ras (20), as described under research design and methods, and were then made quiescent in serum-free media for 24 h as described (14,15). These cells were then stimulated with 3 or 15 mmol/l glucose ± 10 nmol/l IGF-1, ±10 nmol/l GLP-1, or 5 μmol/l glyburide as indicated for 10 min at 37°C. The cell lysates were subjected to immunoblot (IB) analysis as described under research design and methods using phospho-Erk-1/2 and total Erk-1/2. C: [3H]thymidine incorporation assays were carried out on AdV-Ras-DN- and AdV-GFP-infected INS-1 cells to assess β-cell mitogenesis as described under research design and methods with 3 or 15 mmol/l glucose ± 10 nmol/l IGF-1, as indicated. The [3H]thymidine incorporation data are shown as a fold increase above 0.5 mmol/l glucose control as a mean ± SE of six or more individual experiments performed in triplicate.](https://ada.silverchair-cdn.com/ada/content_public/journal/diabetes/52/4/10.2337_diabetes.52.4.974/2/m_db0430732007.jpeg?Expires=1712987864&Signature=jMyDfcWrbe-MeT-os517ssseTjVSH~xVK36ypcNso6nAHSIznAFLcSlLYJc-x1~W798AAg406R7-MUvDyRnOMqpnAz67gnAoyjX73Dw-E5iLvzK6XHM6x6Vkbf-vNrCN3ue61QXOB0Q0S4uoYc01I-hviVJmYsYDZDglOCM~gQaU-XseIZ8sLyYRLbRG0-dMt23Ko0IY-kIBmjkK0qoLTrLvMtPDNEcu0onkL8JX~FGuNSreRgsbeRRSYL3H7ThHnf3C65bTmMGW-c8Psz7dnjy65aU-mMZ5MQS7CMjP7gZ1MZXBeqYABLqXo1rJUfKvNHzTrFyhj-J4A77qkYRNuQ__&Key-Pair-Id=APKAIE5G5CRDK6RD3PGA)
